当院の症例をご紹介
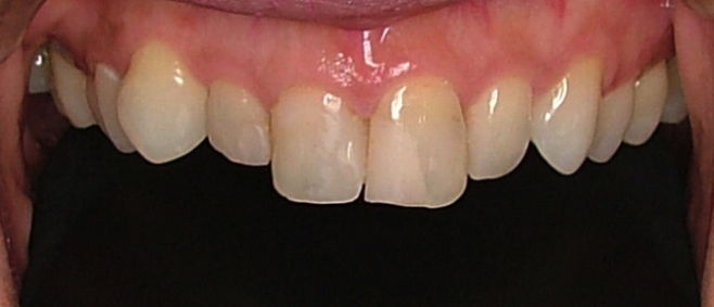
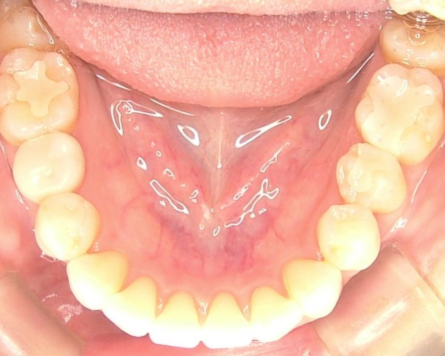
初診時 |
||
|---|---|---|
![]() |
|
![]() |
治療開始から2週間後 |
||
![]() |
||
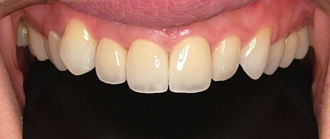
治療開始から約1か月後 |
||
![]() |
|
![]() |
| 治療内容 | 皮膚科で掌蹠膿疱症の診断を受けた患者様です。約10年間、皮膚科でステロイド軟膏、アレルギーの薬を服用しても改善がなかったとのこと。 |
|---|---|
| 治療期間・回数 | 治療期間 2か月、回数 4回 |
| 治療時の費用 | メタルフリー治療費:60,000円 サプリメント料金:35,000円 ※本症例当時の価格です。最新の費用はこちら |
| リスク・副作用 | ●メタルフリー治療 なぜなら、重金属、歯科金属を含め生体に害があるためです。活性酸素の原因となります。口の中の金属から流れる電流・電圧により交感神経の過緊張が生じ、免疫力低下し様々な症状が出るからで、メタルフリーにするとそれが防げると考えています。ガルバニック電流は、平均350mvになり、心電図をとる際には、3.5mvを超えると心肥大と診断されるそうです。 ●ビタミンDのサプリ ビタミンDを補うには、天然のサプリメントで摂取することが大切です。病院の処方箋で出されるビタミンDは活性が強すぎ、血中濃度が上がって高カルシウム血症に(石灰ができやすく)なります。 また、天然サプリメントのビタミンDでも、体に必要だからと言って過剰に摂取すると、これも高カルシウム血症になり、尿毒症を引き起こす可能性があります。用法、用量を守って服用をお願いいたします。 ※2023年栄養医学雑誌≪Journal of Nutrition≫の論文に<東京都民の98%がビタミンD低下、不足状態>という東京慈恵医大臨床検査医学講座の研究グループからの報告がありました。 |
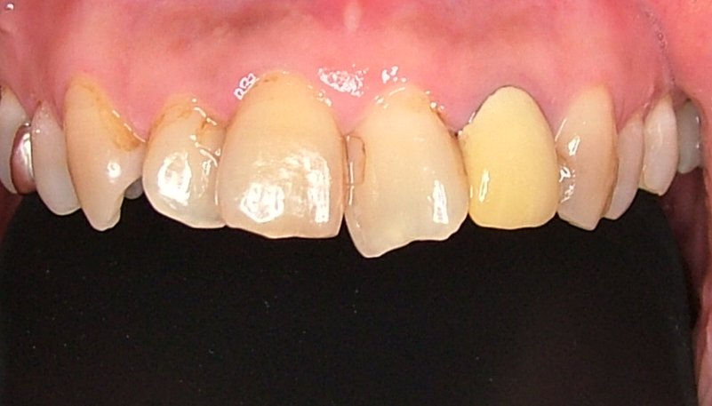
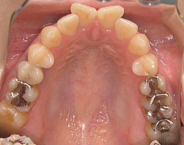
初診時 |
||
|---|---|---|
![]() |
|
|
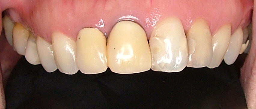
治療開始から5日後 |
||
![]() |
||
治療開始から約3か月後 |
||
![]() |
||
治療開始から約6か月後 |
||
![]() |
||
| 治療内容 | 顎変形症手術の際にチタンプレートを使用し除去後に、皮膚のかゆみ、湿疹が全身に広がり、歯の金属を疑い来院。ガルバニー電流測定後、本人と相談の上、歯の金属をメタルフリーに交換し、重金属デトックスのためにサプリメントも服用。 |
|---|---|
| 治療期間・回数 | 6か月・8回 |
| 治療時の費用 | メタルフリー料金:450,000円 サプリメント代:100,000円 検査代:16,500円 ※本症例当時の価格です。最新の費用はこちら |
| リスク・副作用 | 金属除去後に、一時的にすごくかゆみが出ましたが、これは一時的な好転反応と思われます。 |
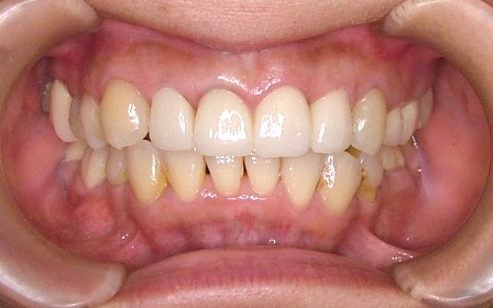
初診時 |
||
|---|---|---|
![]() |
|
|
![]() |
||
![]() |
|
|
口腔内写真 |
|
|---|---|
![]() |
|
| 治療内容 | 掌蹠膿疱症、不定愁訴も治したい。花粉症もあり。ガルバニー電流測定、オリゴスキャン検査、ビタミンDの血中濃度測定 |
|---|---|
| 治療期間・回数 | 5か月・30回 |
| 治療時の費用 | 1,200,000円(メタルフリー代、サプリメント代) ※本症例当時の価格です。最新の費用はこちら |
| リスク・副作用 | 金属除去後に熱が出たそうですが、一時的な好転反応と思われます。このような症状は個人差があるので、特に心配はありません。 |



| 治療内容 | ジルコニアセラミック |
|---|---|
| 治療回数 | 3回 |
| 治療時の費用 | 330,000円(税込) ※本症例当時の価格です。最新の費用はこちら |
| リスク・副作用 | 乱暴なブラッシングをすると歯肉が退縮する可能性があります。 |



| 治療内容 | ジルコニアセラミック |
|---|---|
| 治療回数 | 4回 |
| 治療時の費用 | 660,000円(税込) ※本症例当時の価格です。最新の費用はこちら |
| リスク・副作用 | 乱暴なブラッシングをすると歯肉が退縮する可能性があります。 |



| 治療内容 | ジルコニアセラミック |
|---|---|
| 治療回数 | 2回 |
| 治療時の費用 | 363,000円 ※本症例当時の価格です。最新の費用はこちら |
| リスク・副作用 | 適切なブラッシングをしないと歯肉退縮します。 |



| 治療内容 | ジルコニアセラミック |
|---|---|
| 治療回数 | 3回 |
| 治療時の費用 | 726,000円 ※本症例当時の価格です。最新の費用はこちら |
| リスク・副作用 | 過度なブラシ圧をすると歯肉退縮する可能性があります。 |



| 治療内容 | ジルコニアセラミック |
|---|---|
| 治療回数 | 4回 |
| 治療時の費用 | 484,000円 ※本症例当時の価格です。最新の費用はこちら |
| リスク・副作用 | 過度なブラシ圧をすると歯肉退縮する可能性があります。 |



| 治療内容 | ジルコニアセラミック治療(上顎矯正後) |
|---|---|
| 治療期間・回数 | 13回(矯正含む) |
| 治療時の費用 | ジルコニアセラミック:484,000円 ※本症例当時の価格です。最新の費用はこちら |
| リスク・副作用 | 過度なブラシ圧をすると歯肉退縮する可能性があります。 |
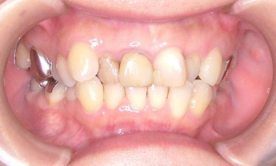
![]() |
|
![]() |
![]() |
|
![]() |
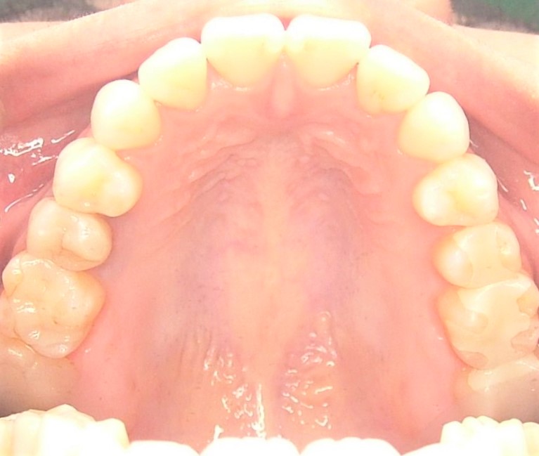
| 治療内容 | 上下の歯並びを治す治療を行いました。 |
|---|---|
| 治療期間・回数 | 治療期間:1年2か月、回数:上顎11回、下顎15回 |
| 治療時の費用 | 上下で953,000円(税込) ※本症例当時の価格です。最新の費用はこちら |
| リスク・副作用 | マウスピース矯正では、以下のような副作用や注意点があります(※治療内容により異なります)
|
![]() |
|
![]() |
![]() |
|
![]() |
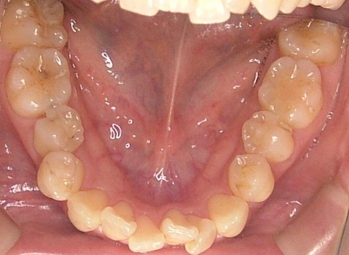
| 治療内容 | 上下の矯正 |
|---|---|
| 治療期間・回数 | 上:10回、下:11回 |
| 治療時の費用 | 上:385,000円、下:401,500円 ※本症例当時の価格です。最新の費用はこちら |
| リスク・副作用 | マウスピース矯正では、以下のような副作用や注意点があります(※治療内容により異なります)
|
HOME
診療内容

















